Tedaviler |
Diş hekimliğinin tüm branşlarında kendi alanında uzman hekimlerden oluşan kadromuz ile; Protez, Periodontoloji, Endodonti, Ortodonti, Pedodonti (Çocuk Diş Hekimliği), Çene Cerrahisi, Implantoloji, Radyoloji, Estetik Diş Hekimliği ve Koruyucu Diş Hekimliği hizmeti vermekteyiz.
Kısaca implant, eksik olan dişlerin fonksiyon ve estetiğini tekrar sağlamak amacıyla çene kemiğine yerleştirilen ve uygun malzemeden yapılan yapay diş köküdür.
İmplant kimlere uygulanır?İster tek diş isterse birden fazla diş eksikliklerinde eğer implant yerleştirmeye uygun miktarda kemik varsa herkese implant uygulanabilir. Hastanın genel sağlık durumu iyi olduğu sürece implant uygulamasını engelleyecek bir üst yaş limiti yoktur. Ancak kemik gelişimini tamamlamamış çok genç hastalarda tercih edilmeyebilir.
İmplant yerleştirilirken acı duyar mıyım?Uygun anestezi yöntemlerinin uygulanması durumunda hayır. Genellikle implantın yerleştirildiği akşam duyulabilecek ağrı basit bir ağrı kesiciyle giderilebilir. Bir çok hasta bu ağrının normal diş çekiminden sonra duyulan ağrıdan farklı olmadığını belirtmektedir.
İmplant yaptırmak için gereken toplam tedavi süresi ne kadardır?İmplant operasyonlarının günümüzde sadece yarım saat içinde yapılması bile mümkün oluyor. Diş ve kemik yapısına göre belirlenen operasyon şekline göre toplam süre değişir. Genelde birinci operasyondan sonraki 3. ve 4. ayda işlem bitirilir. Bu süre implantların kemik ile tam birleşmesini (osteointegrasyon) sağlamak için gereklidir. Ancak bu süreyi kısaltacak değişik implant tipleri de mevcuttur. Hekiminiz hangi implant tipinin size uygun olacağını bildirecektir.
Dişlerin ön yüzlerine yapışan porselen yapraklardır. Yapılabilecek en konservatif (koruyucu) tedavilerden biridir. Bu, veneerlerin yapılabilmesi için dişten kaldırılan dokunun çok az olmasından kaynaklanır. Ortalama 0,3-0,7 mm diş dokusu uzaklaştırmak yeterlidir. Daha sonra veneerler istenen renk ve formda hazırlanır ve yapıştırılır. Çok ince olmaları ve metal içermemeleri sebebi ile estetik olarak çok başarılıdır. Laminate veneerler ışığın geçmesine imkan tanıyarak, uygulandığı dişlerin tamamen gerçek gibi görünmesini sağlayan benzersiz bir kabiliyete sahiptir.

Zirkonyum Destekli Porselen :
Zirkonyum destekli porselen kaplamalar alt yapı olarak metal yerine beyaz renge sahip olan zirkonyum alaşım kullanılan porselenlerdir. Doğal dişe çok yakın estetik görünüme sahiptir. Metal destekli porselenlere göre daha estetiktir.Işığı yansıtır ve alt yapı olarak beyaz renkli alaşım kullanıldığı için diş eti hizasında koyu renkli hat oluşturmaz. İnsan vücudu ile %100 uyumludur ve alerji yapmaz.

Full Porselen Kaplamalar (Empress) :
Güçlendirilmiş porselenden yapılırlar. Adından da anlaşıldığı gibi alt yapıda metal ya da herhangi bir başka madde kullanılmamaktadır. Diğer porselen kaplamalara oranla daha yüksek maliyete sahip olan full porselen kaplamalar doğal dişe en yakın estetik görünüme sahiptirler.

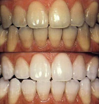
Bleaching (Beyazlatma) :
Diş beyazlatma çeşitli nedenlerle renk değiştirmiş ve sararmış dişlerin rengini kişiye özel birkaç
ton veya daha fazla açmak için uygulanan kozmetik bir çözümdür.
Nedeni her ne olursa olsun dişleriniz daha beyaz ve estetik olabilir.
Ofice bleaching işlemi hekim tarafından klinikte ve yaklaşık olarak 60dk kadar tek işlemde uygulanmaktadır.
Kliniğimizde zoom sistemiyle led ışığı plazma teknolojisi kullanılmaktadır. Kullanılan bu cihaz beyazlatma jelinin
özelliklerini aktive ederek hızlı bir sonuç alınmasını sağlamaktadır.

Çene içerisinde veya çeneler arasındaki Dişsel ve iskeletsel anomalilere mudahale eden diş hekimliği dalıdır. Çene kemiklerindeki sorunların çözümü yani alt çenenin önde konumlanması veya üst çenenin büyük olması gibi sorunlarıortodontistler erken yaşta müdahale ederek daha küçük yaşta çözebilmektedirler. Bu nedenle özellikle kendilerinde çene veya diş çapraşıklığı olan anne-babalar çocuklarını 7-8 yaşında birortodontiste götürerek çocuklarının aynı problemleri yaşama probleminin önüne geçebilirler. Burada unutulmaması gereken bu tür çene problemlerinin olduğu durumlardaortodontik tedaviler büyüme gelişim tamamlanmadan yapıldığında daha hızlı sonuçlar alınabilmekte ve çoğu zaman cerrahi bir müdahaleye ihtiyaç kalmamaktadır.

Doğumdan ergenlik çağına kadar süregelen ve yaşamın büyüme ve gelişim bakımından çok önemli bir kesitinde yer alan 0-14 yaş arası bebek, çocuk ve gençlerin ağız ve diş sağlığını koruyup takip eden bölümdür.

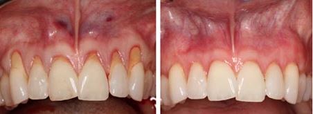
Periodontal hastalıklar dişeti ve dişleri destekleyen diğer dokuları etkileyen iltihabi
hastalıklardır. Erişkinlerde diş kayıplarının % 70’inden periodontal hastalıklar sorumludur. Bu hastalıklar erken dönemde
teşhis edildiklerinde kolay ve başarılı bir şekilde tedavi edilebilirler. Dişeti hastalıklarının önlenmesi veya tedavisi;
doğal dişlerin korunması daha rahat çiğnemenin ve daha iyi bir sindirimin sağlanması gibi diğer faydaları da beraberinde
getirir. Periodontal hastalıklar dişeti iltihabı (gingivitis) ile başlar. Yani, gingivitis periodontal hastalığın erken
dönemidir. Bu dönemde dişetleri kanamalı, kırmızı ve hacim olarak büyümüştür. Erken dönemde çok fazla rahatsızlık vermeyebilir.
Tedavi edilmezse hastalık periodintitise ilerleyerek dişeti ve dişleri destekleyen alveol kemiğinde geriyi dönüşsüz hasar
oluşturabilir.
Periodontitis periodontal hastalıkların daha ilerlemiş bir safhasıdır. Dişleri destekleyen dokularla birlikte alveol
kemiğinde hasar oluşur. Diş-dişeti arasında “periodontal cep” varlığı enfeksiyonun yerleşimini ve hastalığın ilerlemesini
kolaylaştırır. Hastalık ilerledikçe dişler sallanmaya başlar, hatta çekime gidebilir.

Dişlerin içinde, kılcal kan damarları ve sinirlerin bulunduğu, dişe hayat veren küçük bir odacık
(pulpa) vardır. Dişlerin büyümesini ve sürmesini sağlayan bu yapı aynı zamanda çürüme meydana geldiğinde bir uyarı, alarm görevi
görmektedir.
Diş çürüğü dişin sert dokularını parçalayarak pulpa odasına kadar ilerlediğinde, diş ağrısı kendini gösterir ve bakterilerin
salgıladığı asitler ( tedavi edilmez ise ) pulpayı öldürür.
Böylelikle ortaya çıkan toksinler ( zehirler ) kök ucundaki dar delikten dışarı sızarak çene kemiğine yayılır. Çene kemiğinde
oluşan iltihap dişin kaybına, çevre dokularının da harabiyetine neden olur. Bu safhaya gelmeden önce dişi ve çevre dokular
korumak için hastalıklı pulpa dokusunun alınması en doğru çözümdür.
Pulpa dokusu temizlendikten sonra, bu odacığın bakterilerden arınması için çeşitli işlemler uygulanır ve dezenfekte edilir.
Sonuçta bu boşluk özel maddeler ile kök ucuna kadar doldurulur.

